歯列不正を矯正治療後に上下顎大臼歯5歯をセラミックインレー・ アンレー・クラウンで治療した審美歯科
40代
女性 / 2025年9月 症例
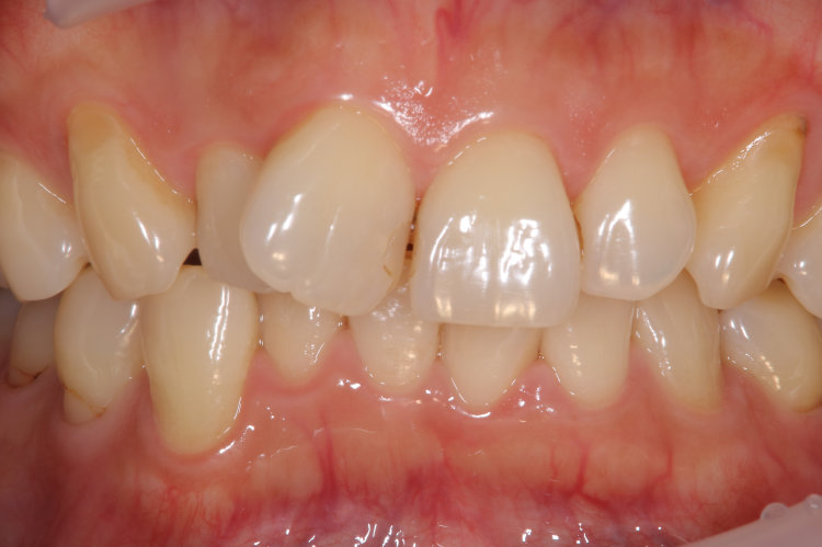
上顎 初診時
下顎 初診時
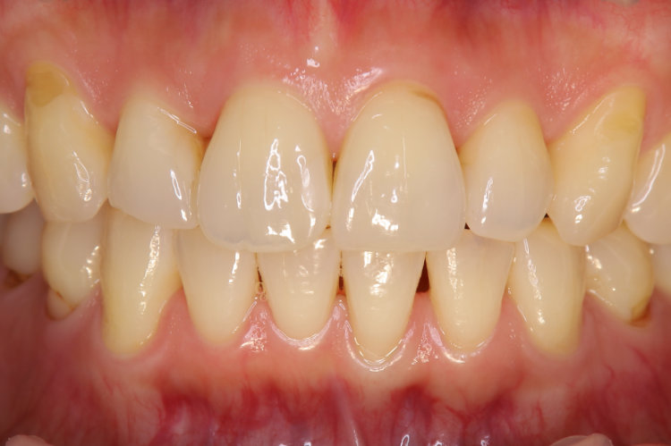
上顎 矯正治療後
下顎 矯正治療後
上顎 審美治療後
下顎 審美治療後
数年前に初診でご来院いただき、歯列不正があったため矯正治療をお勧めしました。 矯正治療が終了したので審美的な改善をご希望でご来院になりました。
治療ステップ
ステップ 1
再初診時
宮本歯科では矯正治療を行っていないため、信頼できる矯正専門医をご紹介させて頂き、数年かけて矯正治療を終了されました。
矯正治療中も矯正専門医とは常に連携をとって口腔内の状況を共有しており、患者さんも定期的な検診にご来院頂いていたので大きな虫歯などはありません。
歯列不正が改善した後、さらなる審美的な改善を望まれており、セラミックでの審美歯科治療をご希望されました。
ステップ 2
治療計画
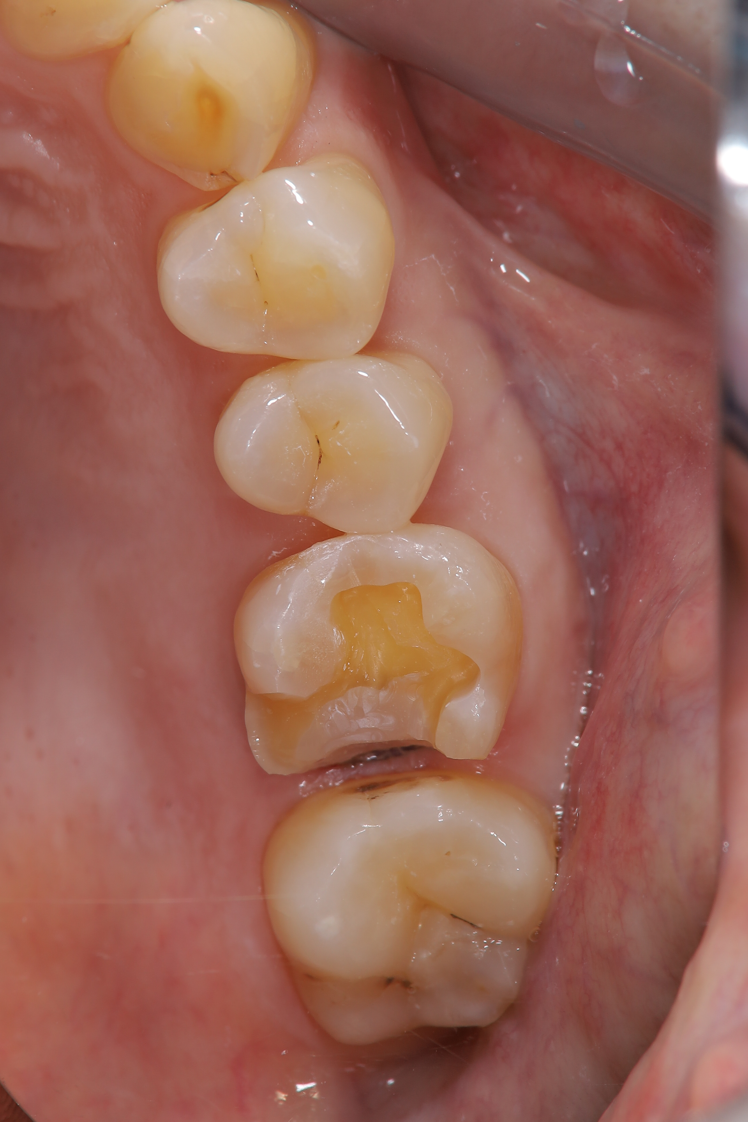
上顎右上6・左上6番・左下7番にはメタルのインレーが入っており、右上7番にはクラウンが入っています。緊急性が高いわけではありませんが、マージン部(歯と詰め物の境目)が不適(歯に合っていない)のため少し虫歯になっています。
左下6番にはCRインレーが入っており、かなり不適でフロスが通らない状態です。
●右上6・左上6・左下7番
・セラミックインレー
●左下6番
・セラミックアンレー
●右上7番
・オールセラミッククラウン
ステップ 3
セラミックインレー印象
まずは左上6番の治療から開始しました。
遠心部の虫歯が少し深めだったためレジンで補強を行い、精度高く印象を行うために圧排糸を埋め込みます。
患者さんにはシリコン印象ではご辛抱をお願いする事もありますが、現時点でデジタルスキャナーによる光学印象は私たちが保険外診療の レベルで求める精密さに達していないため、宮本歯科ではシリコンによる歯型取りを選択しています。
ステップ 4
セラミックインレーセット
約2週間後、セラミックインレーが出来上がってきたのでセットしました。
以降、他部の治療を行っていきます。
ステップ 5
右上・左下セラミック印象・セット
後日、右上6番セラミックインレー・右上7番セラミッククラウンの印象を行いました。
右上2歯は約2週間後、セットしました。
続いて、左下6・7番の印象を行いました。
約2週間後セットしました。
ステップ 6
最終チェック
すべての歯の治療が終わりました。
今までの治療はすべて生活歯(神経がある歯)のため、今後知覚過敏の症状がでる可能性があることをご説明しておりますが、現時点では知覚過敏の症状もありません。
本来であればナイトガードを使用して頂きたいところですが、矯正治療後の保定装置をお使いになっているため、今回はお作りしていません。
引き続き定期的な検診でご来院になる予定です。
治療費
| セラミックインレー | |
| ¥99,000 × 3歯 |
¥297,000 |
| セラミックアンレー | |
| ¥121,000 × 1歯 |
¥121,000 |
| プロビジョナル | |
| ¥5,500 ×1 歯 |
¥5,500 |
| オールセラミッククラウン | |
| ¥209,000 ×1 歯 |
¥209,000 |
| 合計 | ¥632,500 |
|---|---|
※治療費は全て税込の価格となっております。
※保険外診療による治療費用を明記しています。
※費用は、歯・口腔内の状態によって異なります。
※根管治療が必要な場合は別途費用が必要となることがあります。
リスク・副作用
治療中に一時的な咬合痛や冷温水痛、若干の歯肉の腫れ、発赤などを生じることがあります。また仮歯の時期には仮歯の脱離や破損の可能性、舌感などに違和感を感じることがあります。
※すべて症例による違いや個人差があります。
治療担当
医師:宮本 庸一
歯科衛生士:小原 彩
トリートメントコーディネーター:宮本 秀子
症例紹介について
宮本歯科では厚生労働省が定めた医療機関ホームページガイドライン、ならびに医療広告ガイドラインに則ったホームページでの情報提供を実践しています。
ガイドラインでは、単純な術前術後の写真等、いわゆる「ビフォーアフター」を原則として(利用者保護の観点から)掲載を禁止していますが、患者さんの不利益にならないように要件を満たしている場合は、術前術後の写真等について広告(ホームページへの掲載)できるとされています。
より詳しい宮本歯科の医療広告ガイドラインの取り組みについては、「医療広告ガイドラインの遵守について」をご覧ください。

