右下奥歯2歯をセラミックアンレー・インレーで治療した審美歯科
50代
女性 / 2025年10月 症例
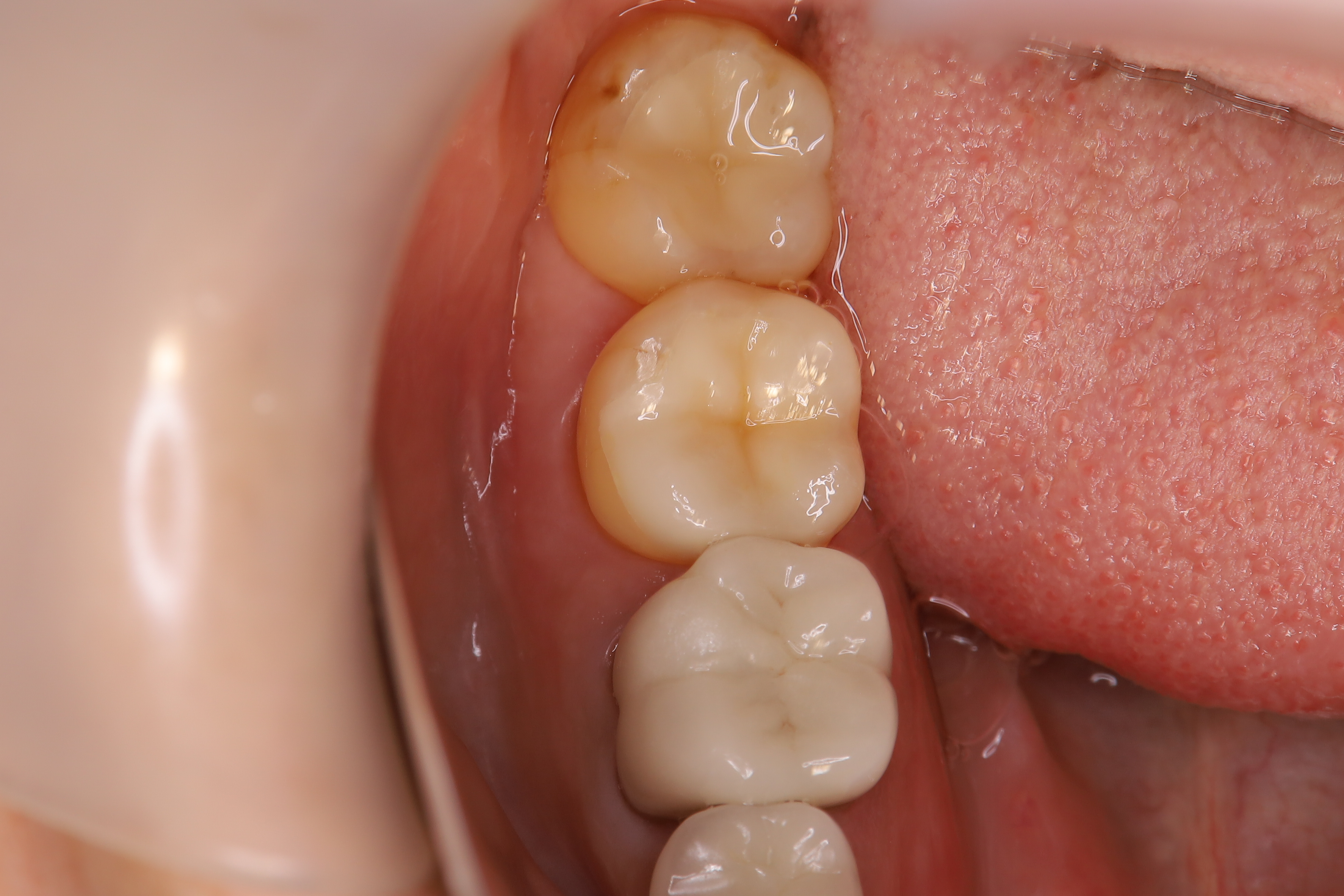
治療前
治療後
10年以上年前に初診でご来院になっており、現在も定期検診でご来院頂いています。 左下奥歯3歯と今回治療予定の奥歯の手前の2歯はすでに当院で銀歯の被せ物をセラミッククラウンにする審美歯科治療を行っています。検診でご来院のタイミングで少しずつ審美改善をされており、今回は下顎で最後に残っている右下奥歯2歯の治療をご希望されました。
治療ステップ
ステップ 1
再初診時
右下奥歯には30年ほど前に他院で治療をしたアマルガムという素材の金属が入っており、マージン部(詰め物と歯との境目)から少し虫歯もあります。
今回は審美的改善もご希望になったのでセラミックでの審美歯科治療をご提案しました。
ステップ 2
治療計画
右下一番奥歯は親知らずです。
親知らずは斜めに萌出していたり、半分埋伏しているなど、ご自身でのお手入れが困難なために虫歯になってしまったり、歯ぐきが腫れたりしやすいケースが多いので、抜歯をお勧めすることも少なくありません。
今回のケースは親知らずは完全に萌出していて、上顎ともかみ合っており、お手入れもしっかりできる状態で、虫歯も大きくないため、治療をして使っていくことをお勧めしました。
●右下7番
・セラミックアンレー
●右下8番
・セラミックインレー
ステップ 3
セラミックアンレー・インレー印象
奥歯に入っている金属はアマルガムというものです。
水銀やすずなどが多く含まれた合金であり、30年ほど前までは歯科治療で一般的に使用されていました。水銀等が人体に悪影響を及ぼす可能性などが指摘されており、現在の歯科治療では使用されていません。近年の歯科治療で使用されている金属とは大きく異なるものです。
アマルガムを丁寧に除去し、虫歯も削合して歯型をおとりします。
今回はマージン部が歯肉縁下にはないため、圧排はしていません。
精度高く印象(歯型とり)を行うために、宮本歯科ではシリコンでの印象にこだわっています。患者さんにはご辛抱をお願いする事もありますが、現時点でデジタルスキャナーによる光学印象は私たちが保険外診療のレベルで求める精密さに達していないためシリコンによる印象を選択しています。
セラミックの色はご自分の歯の色よりも少し白めをご希望されました。
ステップ 4
セラミックアンレー・インレーセット
約2週間後、セラミックアンレー・インレーのセットを行いました。
これで下顎には金属製の詰め物がなくなりました。審美的な改善はもちろんですが、精度高いセラミック製の詰め物が入ったことでフロスのひっかかりなどもなくなり、ご自分でのお手入れがかなりしやすくなっています。
今後は上顎に入っている金属製の詰め物の審美的かつ機能的な改善を予定しています。
治療費
| セラミックアンレー | |
| ¥121,000 × 1歯 |
¥121,000 |
| セラミックインレー | |
| ¥99,000 × 1歯 |
¥99,000 |
| 合計 | ¥220,000 |
|---|---|
※治療費は全て税込の価格となっております。
※保険外診療による治療費用を明記しています。
※費用は、歯・口腔内の状態によって異なります。
※根管治療が必要な場合は別途費用が必要となることがあります。
リスク・副作用
治療中に一時的な咬合痛や冷温水痛、若干の歯肉の腫れ、発赤などを生じることがあります。また仮歯の時期には仮歯の脱離や破損の可能性、舌感などに違和感を感じることがあります。
※すべて症例による違いや個人差があります。
治療担当
医師:宮本 庸一
歯科衛生士:大久保 友美
トリートメントコーディネーター:宮本 秀子
症例紹介について
宮本歯科では厚生労働省が定めた医療機関ホームページガイドライン、ならびに医療広告ガイドラインに則ったホームページでの情報提供を実践しています。
ガイドラインでは、単純な術前術後の写真等、いわゆる「ビフォーアフター」を原則として(利用者保護の観点から)掲載を禁止していますが、患者さんの不利益にならないように要件を満たしている場合は、術前術後の写真等について広告(ホームページへの掲載)できるとされています。
より詳しい宮本歯科の医療広告ガイドラインの取り組みについては、「医療広告ガイドラインの遵守について」をご覧ください。

