1本の歯に心を尽くす
ほんとうの審美歯科を
東京銀座で。
歯科医師であり職人。
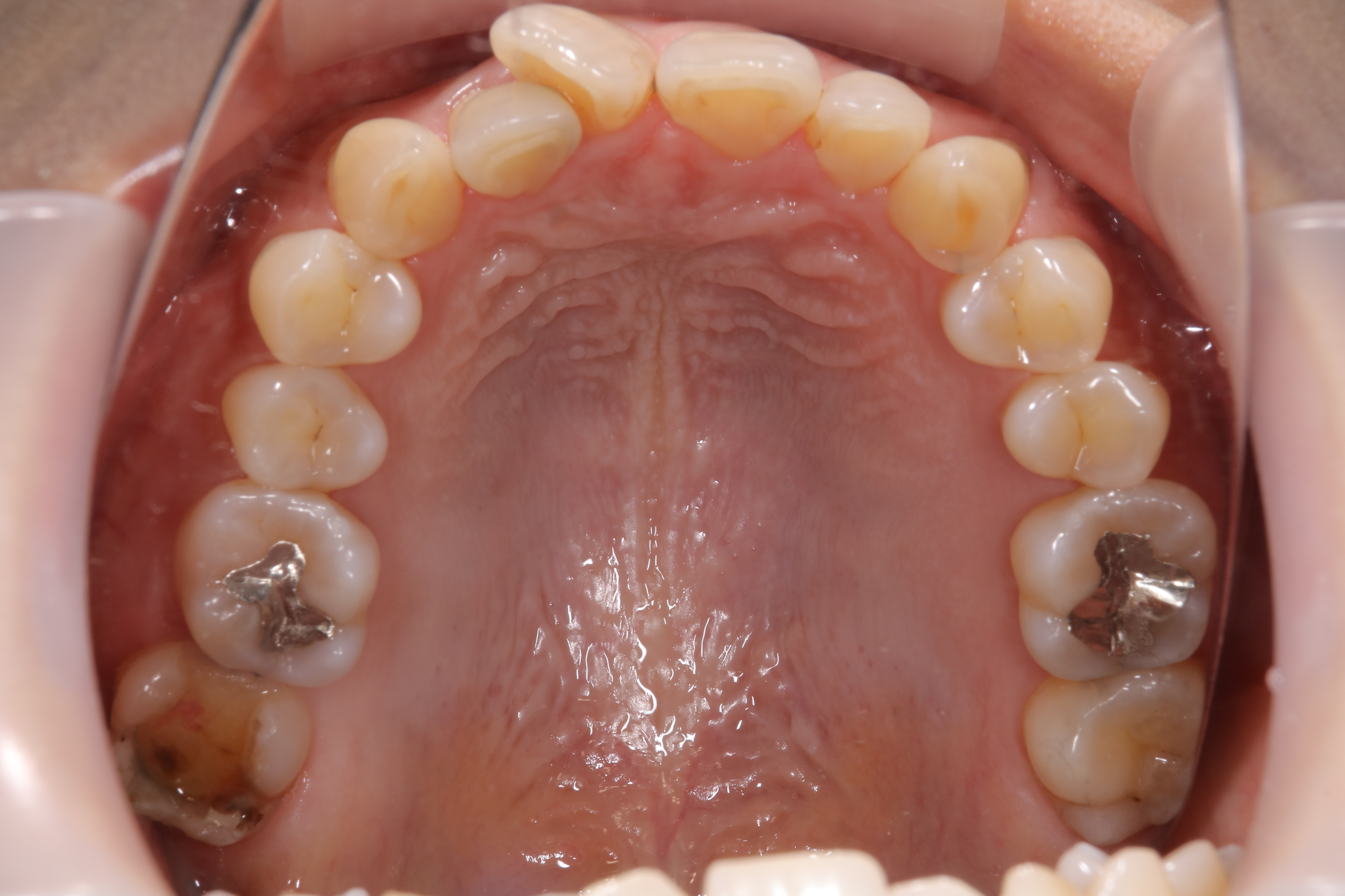
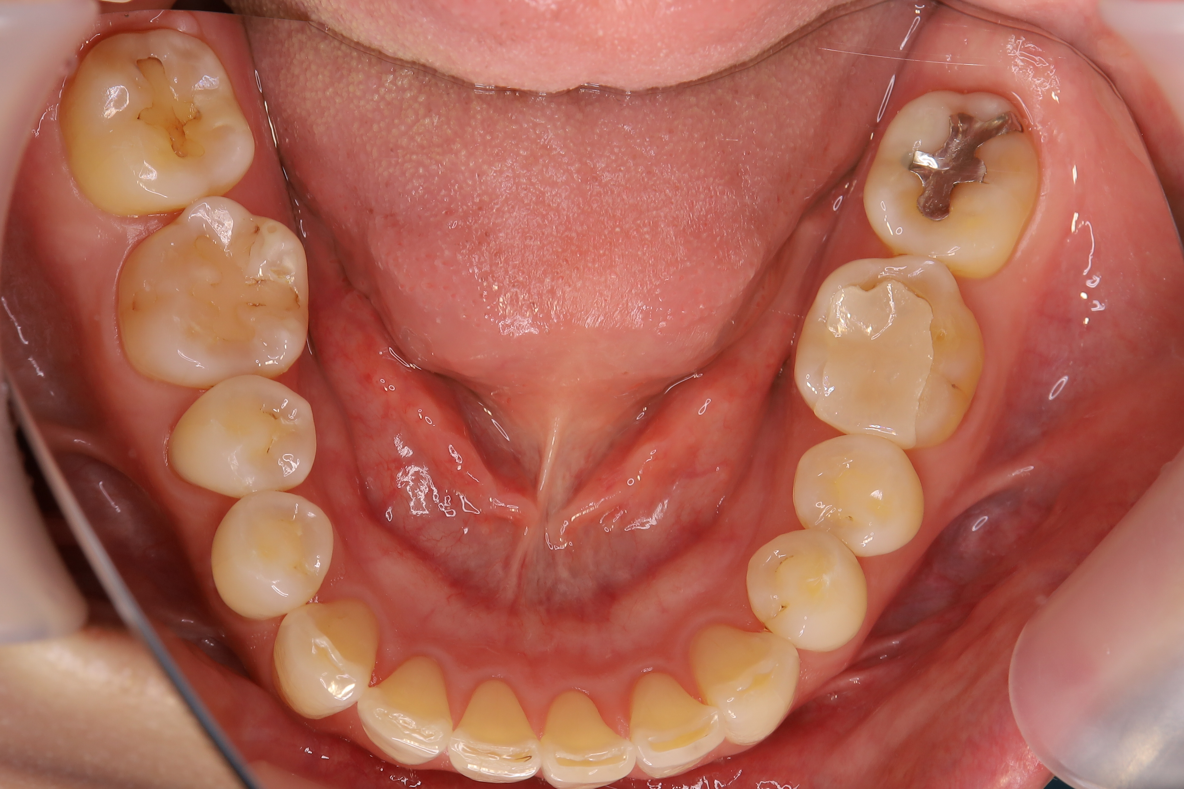
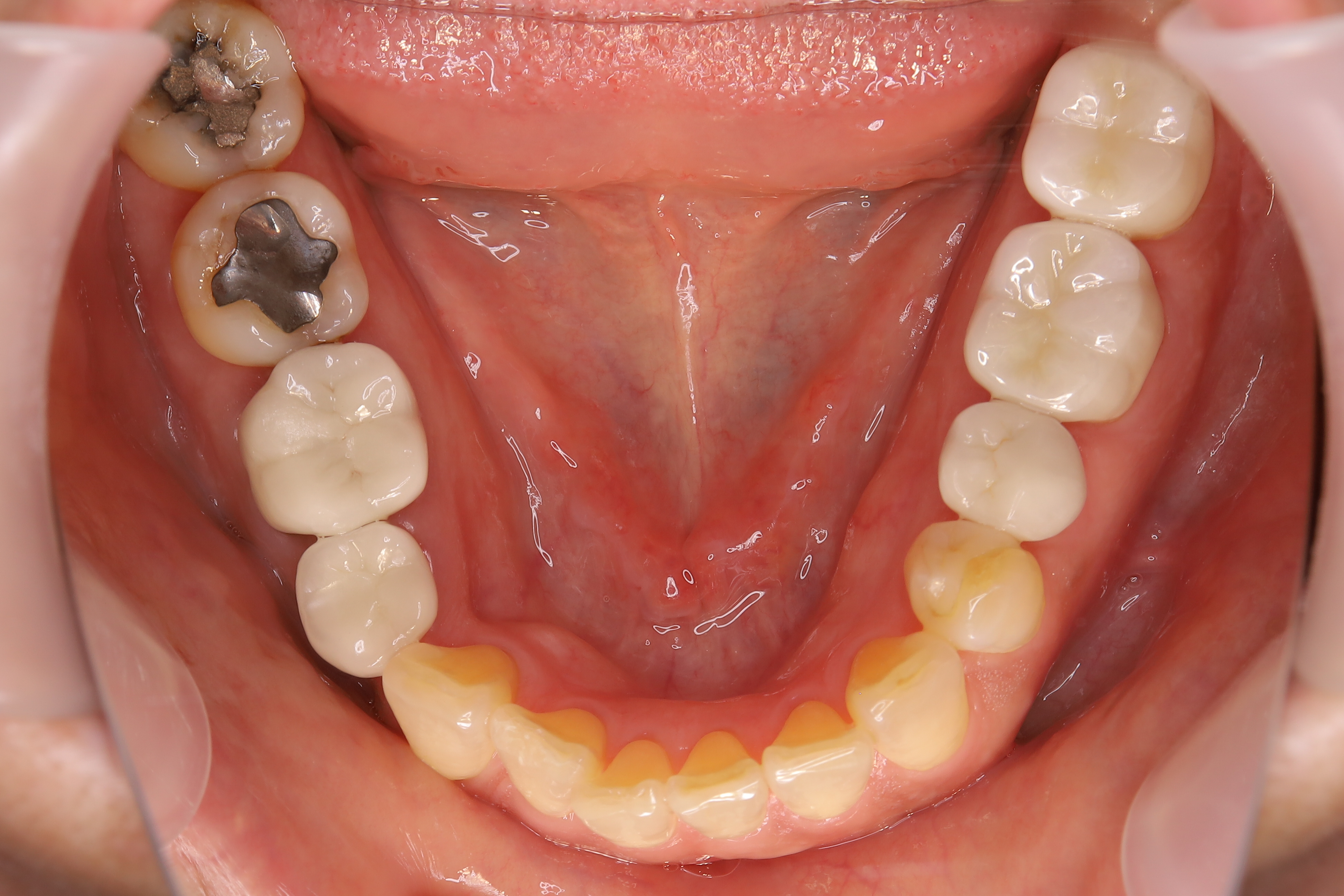
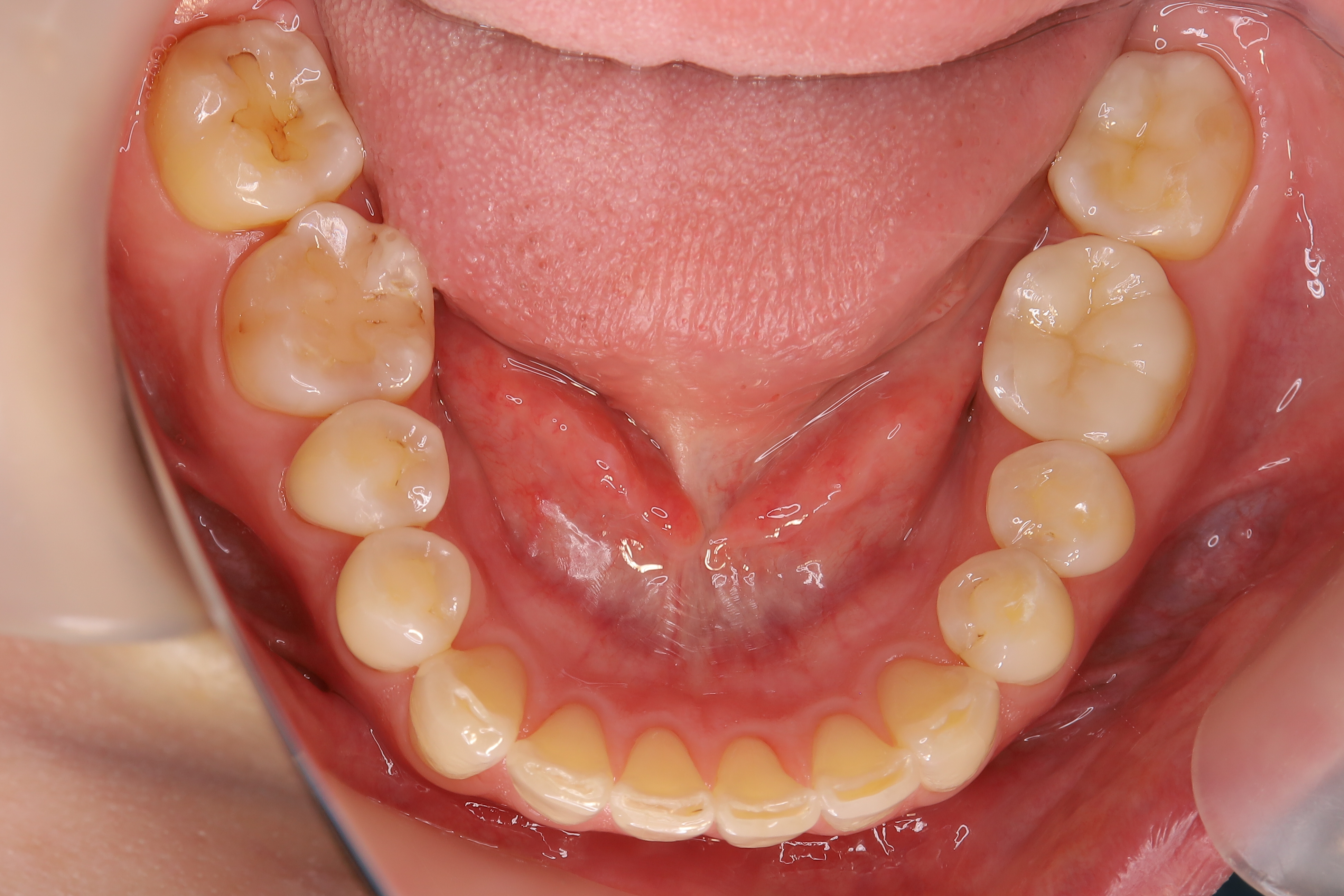
審美歯科治療
症例紹介
審美歯科を希望する
患者さんに、
一つだけお伝えしたいこと。
審美歯科の治療には様々な不安や
疑問がおありと思います。その悩みを抱えたまま
歯科治療を始めることだけは絶対に止めてください。
これが歯科医師としての
患者さんに対する心からのお願いです。
歯科医師であり職人。
愚直に真摯に。
1日で終える
審美歯科は致しません。
ほんとうに美しい歯は、機能を徹底的に追求した先に存在すると考えます。
見た目だけでない機能と審美の両立は、審美治療後の食事をふくめた
生活の質の向上に繋がります。
審美目的の安易な即日治療を宮本歯科では決しておこないません。
聴くこと話すことのプロフェッショナル
トリートメント
コーディネーター (TC)
審美歯科のお悩みに耳を傾け、患者さんの歯科治療に寄り添います。
TC は歯科医師への橋渡しをする特別な患者さんのパートナーです。

